adoode.xyz

Add new ad
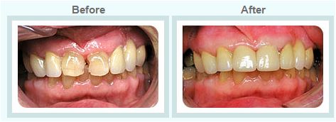
Porcelain Crowns and Veneers Treatment by Healthy Smiles
Porcelain Crowns and Veneers Treatment by Healthy Smiles Porcelain Crowns and Veneers Treatment by Healthy Smiles Porcelain Crowns and Veneers Treatment by Healthy Smiles

Porcelain Crowns and Veneers Treatment by Healthy Smiles

Description

With the latest advances in cosmetic dentistry porcelain/ceramics have come to the forefront as highly regarded cosmetic materials that can be used to emulate natural enamel with high fracture resistance and strength. This has enabled people to have the beautiful smile they always desired and at the same time look natural and lustrous as if they were their own teeth.

Porcelain Crowns are basically of two types:

• Bonded All Porcelain Crowns
• Porcelain Fused To Metal Crowns

Affordable porcelain veneers, porcelain crowns offer by Blackburn, Melbourne based dental veneers clinic – HealthySmiles. Book your porcelain veneers appointment today on 03 9877 2035 or visit www.healthysmiles.com.au.

Details

Category: Health - Beauty - Fitness

City: Melbourne

Published: 0000-00-00

Views: 738

Similar ads

[ AdSense Block - Anunț Safe ]