Smile Designing Makeover - Smile Dentist Claremont Australia
Website
Visit websiteDescription
One of the greatest assets a person can have is a smile that shows beautiful, natural teeth. The restoration of a smile is one of the most gratifying services we can render. Improving a patients smile often contributes to improved self-image and enhanced self-esteem.
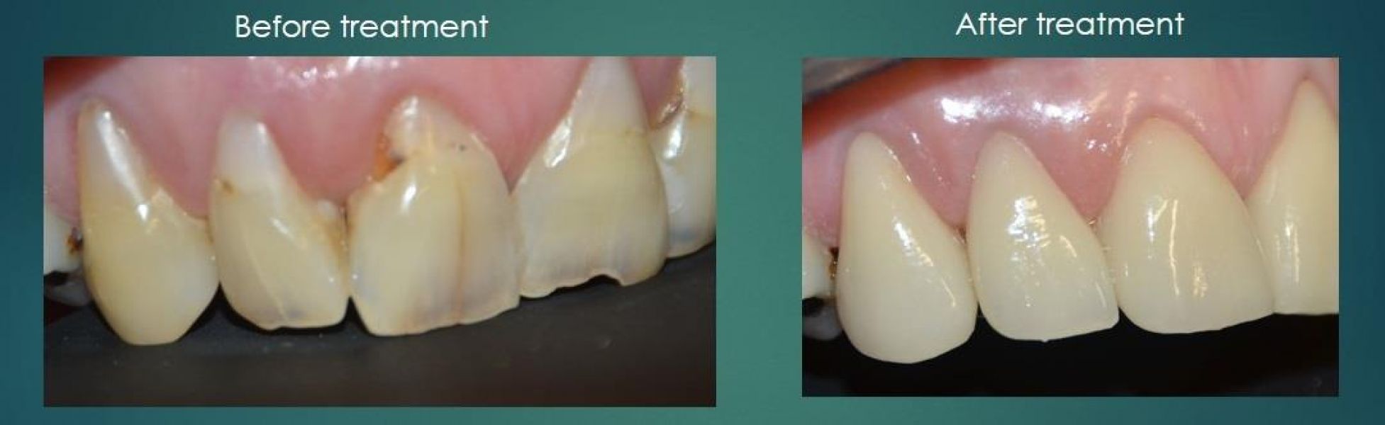
SMILE DESIGNING or SMILE MAKEOVER is a process whereby complete oral hard and soft tissues are studied and certain changes are brought about, which will have a positive influence on the overall aesthetics of the face.
Smile designing by Claremont based smile make over dental clinic. For effective smile designing services, consult smile dentists on 08 9385 6677. At Ashton Avenue dental we believe we can help you achieve a naturally attractive smile to suit your needs.
SMILE DESIGNING or SMILE MAKEOVER is a process whereby complete oral hard and soft tissues are studied and certain changes are brought about, which will have a positive influence on the overall aesthetics of the face.
Smile designing by Claremont based smile make over dental clinic. For effective smile designing services, consult smile dentists on 08 9385 6677. At Ashton Avenue dental we believe we can help you achieve a naturally attractive smile to suit your needs.
Contact
Contact seller
Similar ads
[ AdSense Block - Anunț Safe ]